Chest Radiology

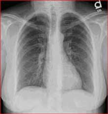
The chest x-ray is the best initial evaluation of the lungs. The chest x-ray is the most common general diagnostic exam ordered. It is especially helpful for patients who complain of shortness of breath, chest pain, cough, or possible infection. The exam can help diagnose: pneumonia, heart failure, chronic obstructive pulmonary disease or lung cancer.

If your physician suspects more advanced involvement of the respiratory system, advanced imaging modality, such as CT or MRI, can be further utilized. CT scan of the chest is particularly helpful in evaluating for infectious etiology, lung cancer, pulmonary embolus, chronic lung disease or pleural pathology.

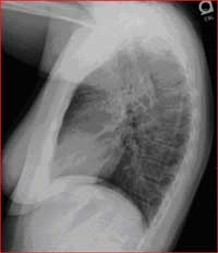
Normal Chest X-Ray

Normal Chest X-Ray

Normal Chest CT Scan

Close