Coronary CT Angiography (CTA)

A coronary CTA is a heart-imaging exam that shows fatty deposits or calcium built up inside the coronary arteries and determine if an intervention, such as angioplasty or bypass surgery, is needed. The procedure begins by starting an intravenous line (IV) in a vein, usually at the elbow level, through which the contrast agent is injected. Usually, beta-blocker medications are given orally and sometimes intravenously, to lower the heart rate and optimize image quality. The patient lies comfortably on the CT scanner table, and may experience a brief warm sensation as the contrast agent enters the vascular system. The procedure itself lasts only few minutes.

Your images are reviewed and processed so they can be analyzed three dimensionally utilizing a special software and computer workstations. Our physicians review the images by creating life-like anatomical displays and subsequently generate a detailed report to your physician.

While cardiac catheterization is still considered the “gold standard” for heart testing in patients presenting with heart attack symptoms; nowadays, CTA is being more widely used to rule out potential problems in patients presenting with non-life threatening symptoms. Often lifestyle changes or medications can help reverse heart disease, without putting the patient through riskier, invasive procedure.

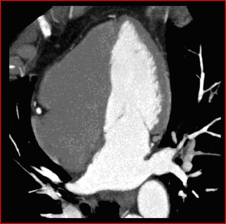
Dye is filling the left ventricle during cardiac CTA

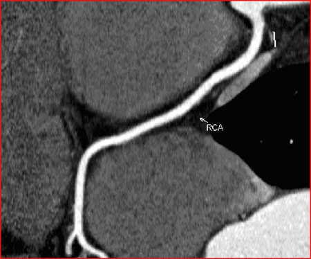
Normal Right Coronary Artery

Close